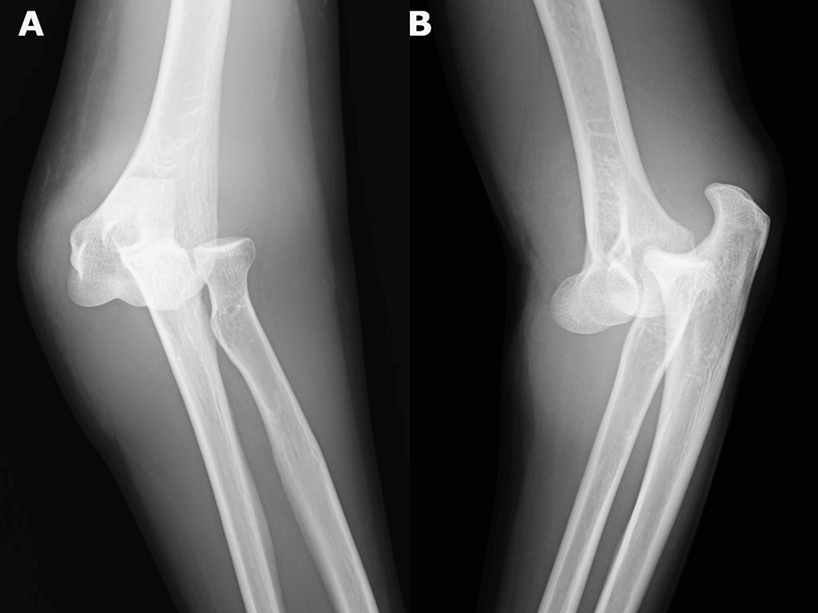
Medical Must-See: How a simple elbow dislocation led to fasciotomy six hours later
A Japanese woman escaped serious complications, including myonecrosis, following a simple elbow dislocation that morphed into acute compartment syndrome, doctors report. The case also highlights…